Удаление шестёрок с имплантацией
Обращение пациента
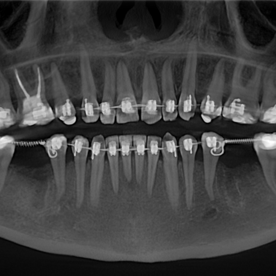
Пациентка 28 лет пришла с жалобами на скученность зубов.
Перед установкой брекетов было необходимо полностью вылечить все зубы.
Какой диагноз поставили
В ходе диагностики мы выяснили, что нижние шестерки вылечить невозможно. В таком случае необходимо удалить зубы и установить имплантаты.
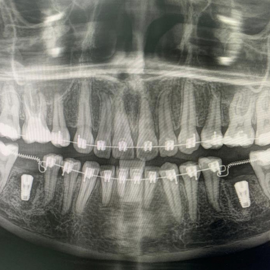
Пациентка начала ортодонтическое лечение и за 5 месяцев до окончания лечения ей удалили нижние шестерки и поставили импланты. За месяц до конца лечения установили формирователи десны. На момент снятия брекетов были сняты слепки под постоянные коронки на имплантатах.
В этом случае одновременно пациент закончил ортодонтическое, хирургическое и ортопедическое лечение. Что возможно только при одновременном подходе команды врачей.
Результат лечения
Кто участвовал в лечении

Специализация:
Врач стоматолог-хирург, имплантолог
Миссия в клинике:
Удаление зубов любой сложности, имплантация, имплантация в эстетически важной зоне, операции на мягких тканях полости рта, увеличение объема твёрдых и мягких тканей, комплексный подход к лечению заболеваний полости рта.




