Удаление зуба с имплантацией
Обращение пациента
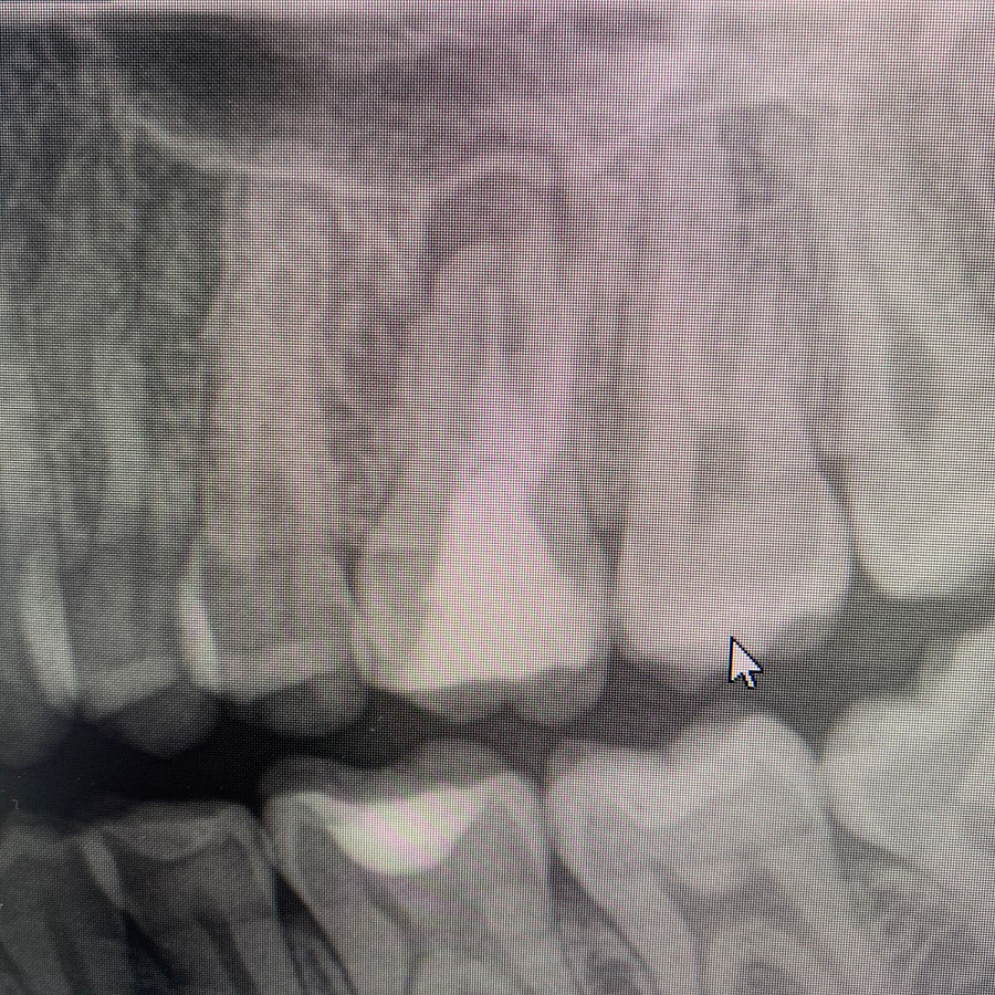
Пациент, 22 года. Обратилась к терапевту с жалобами на дискомфорт при накусывании на зуб в верхней челюсти слева.
Какой диагноз поставили
В ходе эндодонтической диагностики доктор обнаружил трещину в корне зуба.
Сохранить или вылечить зуб невозможно, поэтому было рекомендовано удаление зуба с последующей имплантацией.
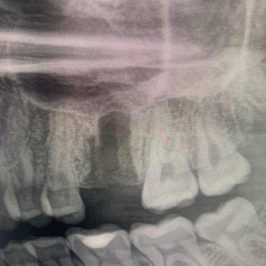
После удаления таких зубов и извлечения кисты, в кости остаётся большой дефект. Поэтому сделать одномоментную имплантацию зуба, т.е. удаление и имплантацию за один приём невозможно. В таких случаях необходимы дополнительные хирургические манипуляции по подсадке искусственной кости, чтобы сохранить объём костной ткани для последующего протезирования.
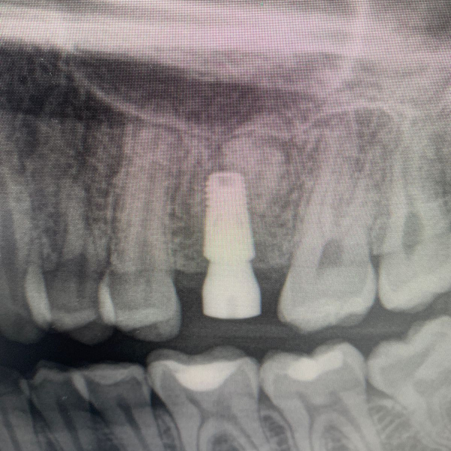
Через 6 месяцев после подсадки кости - контрольный снимок и установка зубного имплантата.
Спустя 6 месяцев пациент готов к протезированию.
Результат лечения
Кто участвовал в лечении

Специализация:
Врач стоматолог-хирург, имплантолог
Миссия в клинике:
Удаление зубов любой сложности, имплантация, имплантация в эстетически важной зоне, операции на мягких тканях полости рта, увеличение объема твёрдых и мягких тканей, комплексный подход к лечению заболеваний полости рта.





