Удаление непрорезающегося зуба мудрости
Обращение пациента
Пациентка 18 лет пришла на консультацию после того, как другой стоматолог хирург отправил ее в стационар челюстно-лицевой хирургии для удаления зуба мудрости. В стационаре предполагалось лежать неделю.
Какой диагноз поставили
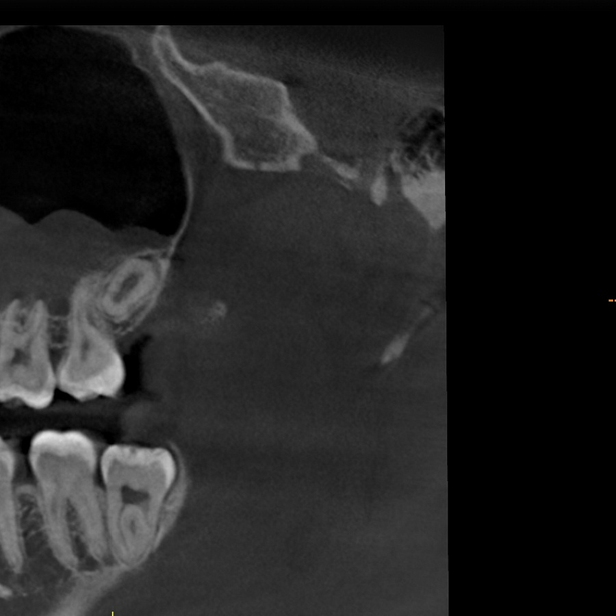
Зуб не прорезался, лежит горизонтально и направлен в сторону твёрдого нёба, мешает проведению ортодонтического лечения, выпрямлению зубных рядов. Около зуба проходит несколько важных анатомических структур, которые нельзя задеть, плюс зуб полностью погружён в костную ткань.
Зуб удалили за 1 час.
В лунку обязательно нужно было положить PRF (сгусток крови, который мы берём у пациента до удаления зуба и центрифугируем в специальном аппарате). Это необходимо для более благоприятного и прогнозируемого заживления.
Реабилитацию и заживление пациентка успешна прошла дома, а не в стационаре. Через 10 дней сняли швы.
Результат лечения
Кто участвовал в лечении

Специализация:
Врач стоматолог-хирург, имплантолог
Миссия в клинике:
Удаление зубов любой сложности, имплантация, имплантация в эстетически важной зоне, операции на мягких тканях полости рта, увеличение объема твёрдых и мягких тканей, комплексный подход к лечению заболеваний полости рта.



