Удаление зуба и одномоментная имплантация
Обращение пациента
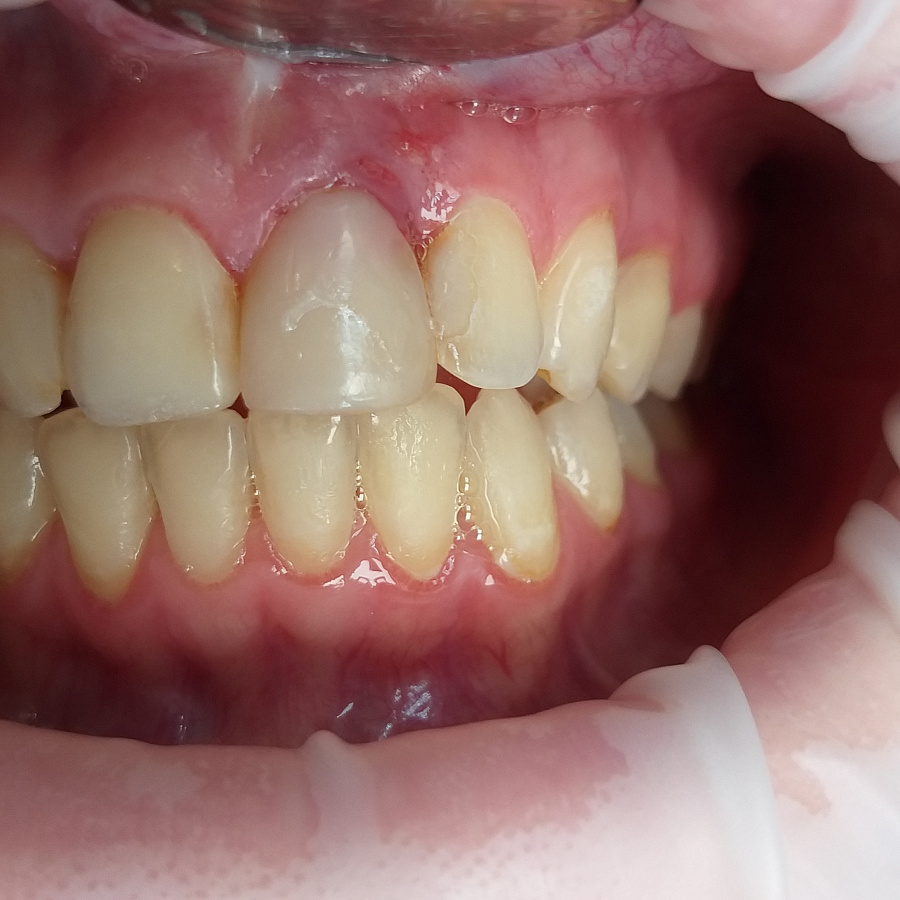
Пациентка обратилась в клинику с жалобами на воспаление десны в области переднего зуба верхней челюсти, необычный вид десны, кровоточивость десны во время чистки зубов.
Какой диагноз поставили
Поставлен диагноз посттравматическая резорбция корня.
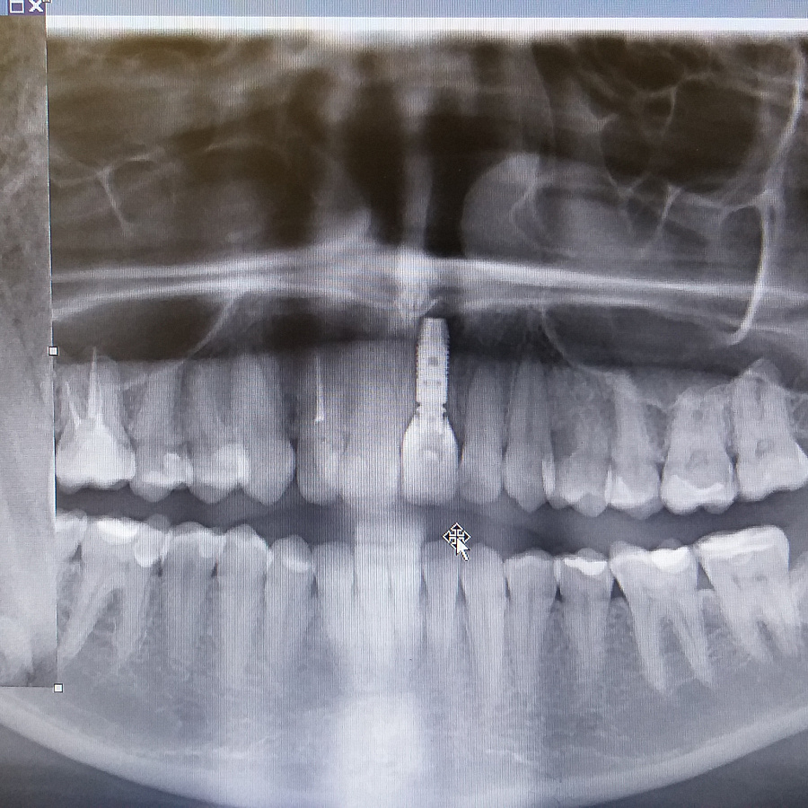
Был предложен вариант одномоментной имплантации (удаление зуба и установка импланта за одно посещение).
Следующий этап после удаления разрушенного корня и установки зубного имплантата - восстановление косметического дефекта временной коронкой, изготовленной после операции.
Результат лечения
Кто участвовал в лечении

Специализация:
Главный врач, стоматолог-ортопед, стоматолог-ортодонт, гнатолог.
Кандидат медицинских наук, член СтАР. Входит в ассоциацию лазерной стоматологии, ассоциированный член Общества по изучению цвета в стоматологии.
Владелец патента на изобретение «Способ изготовления экзопротеза верхней челюсти» (патент № 143103) и патента на полезную модель «Устройство для снятия несъемных зубных протезов» (патент № 54766).
Миссия в клинике:
Мы относимся к жизни и здоровью как к дару, к сохранению молодости и красоты – как к профессиональной чести, а воссоздание улыбки выполняем как ювелирную работу.






