Комплексное лечение с протезированием
Обращение пациента
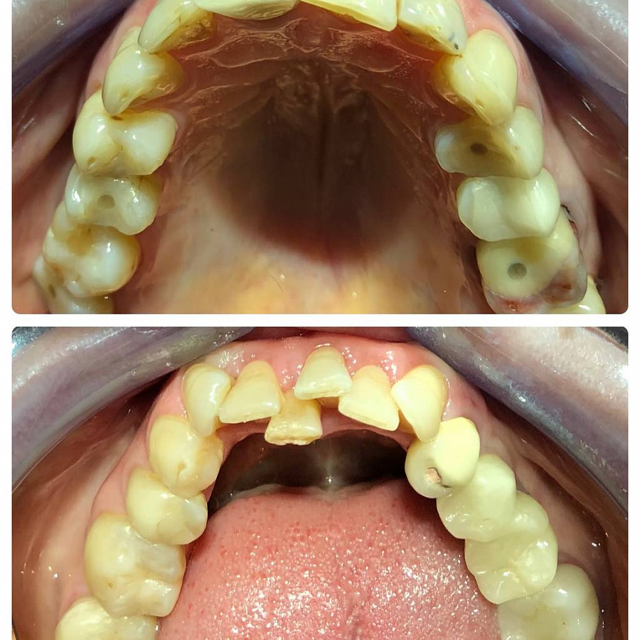
Пациентка обратилась с жалобами на эстетику всех зубов. Ранее уже были установлены постоянные коронки, имплант 34.
После диагностики пациентке было предложено провести комплексное лечение:
-
Санацию полости рта.
-
Ортодонтическое лечение.
-
Ортопедическое восстановление окклюзионных контактов и эстетики зубов.
Санацию проводил доктор Платонов. Далее провели удаления резца и ортодонтическое лечение с помощью брекетов, чтобы додготовить зубы к протезированию.
После доктор Мискевич провела протезирование, чтобы нормализовать прикус, изменить цвет и форму зубов.
Результат лечения
Кто участвовал в лечении

Специализация:
Главный врач, стоматолог-ортопед, стоматолог-ортодонт, гнатолог.
Кандидат медицинских наук, член СтАР. Входит в ассоциацию лазерной стоматологии, ассоциированный член Общества по изучению цвета в стоматологии.
Владелец патента на изобретение «Способ изготовления экзопротеза верхней челюсти» (патент № 143103) и патента на полезную модель «Устройство для снятия несъемных зубных протезов» (патент № 54766).
Миссия в клинике:
Мы относимся к жизни и здоровью как к дару, к сохранению молодости и красоты – как к профессиональной чести, а воссоздание улыбки выполняем как ювелирную работу.

Специализация:
Врач ортодонт, гнатолог
Master of science (Магистр естесственных наук), училась и практиковалась в Австрии в Венском Университете
Миссия в клинике:
Ведение ортодонтического приема как взрослых, так и детей в полном объёме. Проведение комплексной гнатологической и ортодонтической диагностики. Ведение пациента совместно с хирургом, ортопедом и терапевтом. Лечение детей и взрослых с помощью съемных( элайнеры, пластинки) и несъёмных ( брекеты, ортопланты, аппараты хайрекс, форсус и тд) систем. Лечение патологий ВНЧС, связанных с нарушениями зубочелюстной системы.

Специализация:
Врач стоматолог-терапевт, эндодонтист, детский стоматолог
Миссия в клинике:
Все виды терапевтического лечения, Эндодонтия любой степени сложности, Работа на операционном микроскопе, Работа ротационными эндодонтическими инструментами, Обтурация корневых каналов термопластифицированной гуттаперчей, Владение современными методиками адгезивных композитных реставраций





