Комплексная реставрация передних зубов
Обращение пациента
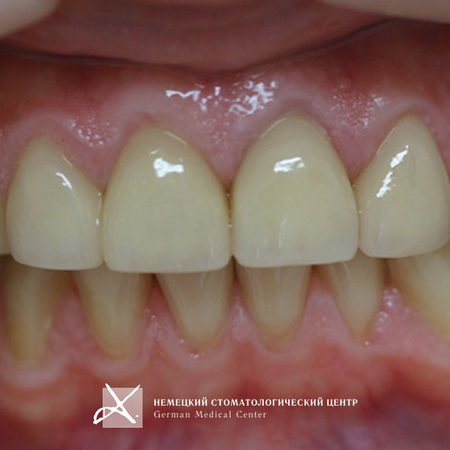
С какой проблемой обратился пациент
Пациентка (42 года) обратилась с жалобой на эстетику фронтальных зубов верхней челюсти.
Какой диагноз поставили
- зубы 12, 22 — эрозия эмали
- зуб 23 — клиновидный дефект
- зубы 11, 21 — некачественные композитные реставрации
- стираемость эмали в области режущего края зубов 11, 21, 12, 22
Этапы лечения
На зубы 12, 11, 21, 22 установлены керамические виниры.
Зуб 23 восстановлен композитной пломбой в пришеечной области.



