Лечение депульпированного резца
Обращение пациента
Пациент 55 лет обратился с жалобами на длительные болевые ощущения в левом переднем сегменте верхней челюсти. По словам пациента в свое время первый резец был депульпирован. При этом к клинике, где депульпировали зуб, пациенту сказали, что в дальнейшем проблем с ним не возникнет.
Какой диагноз поставили
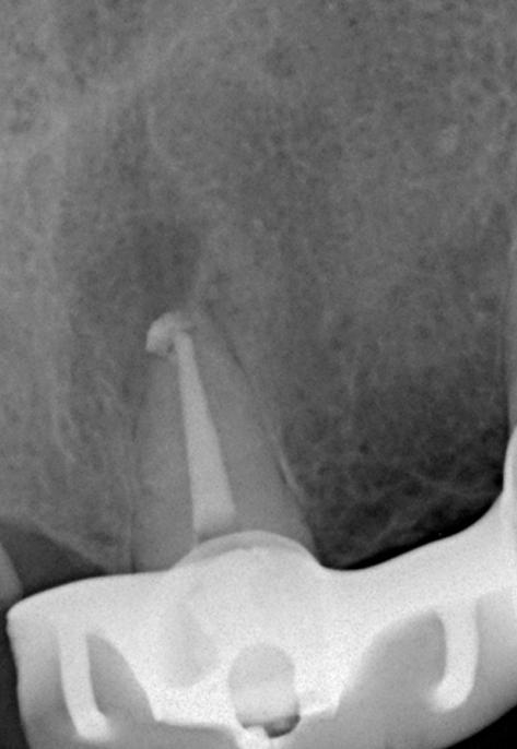
Выявлена болезненность при перкуссии и пальпации в области 21 зуба. Зуб не реагирует на термические раздражители. Результаты пародонтологического обследования в пределах нормы, рентгенологическое обследование выявило радиолюцентную зону в области верхушки корня (снимки 1, 2).
Диагноз: Острый апикальный периодонтит.
В связи с наличием у пациента жалоб и клинических симптомов принято решение о проведении ревизии корневого канала 21 зуба. Проведена терапия с помощью гидроокиси кальция в течении 4-х недель (снимок 3). Пломбировка канала гуттаперчей и корневым герметиком.
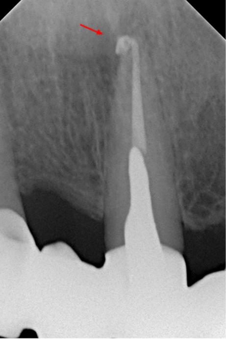
На контрольном снимке через 12 месяцев после лечения отмечается репарация тканей в области верхушки 21 зуба (снимок 4). Жалобы отсутствуют.





