Туннельная вестибулопластика
Обращение пациента
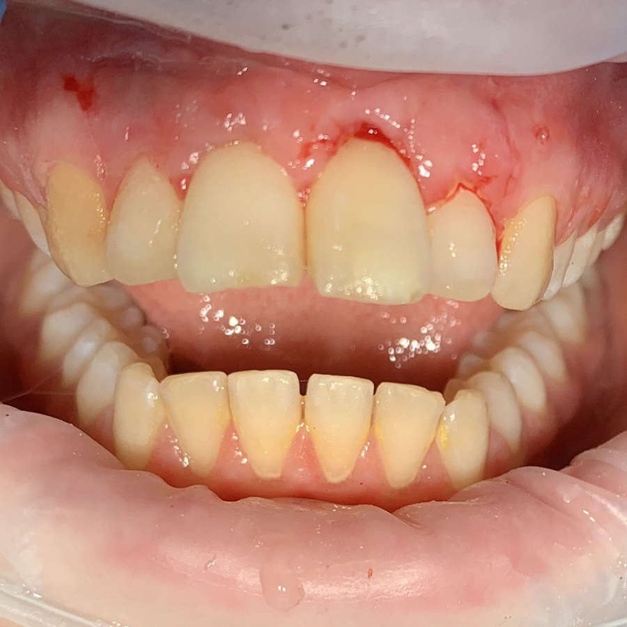
С какой проблемой обратился пациент
Пациент направлен врачом-ортодонтом с целью восстановления контура мягких тканей перед ортодонтическим лечением.
Этапы лечения
Проведена туннельная вестибулопластика. В дальнейшем пациента ждет ортодонтическое лечение и повторная коррекция уровня десны.
Результат лечения
Кто участвовал в лечении

Самсонов Андрей Романович
Специализация:
Врач стоматолог-хирург, имплантолог
Миссия в клинике:
Удаление зубов любой сложности, имплантация, имплантация в эстетически важной зоне, операции на мягких тканях полости рта, увеличение объема твёрдых и мягких тканей, комплексный подход к лечению заболеваний полости рта.




