Установка имплантатов, костная регенерация, МКР, пластика мягких тканей
Обращение пациента
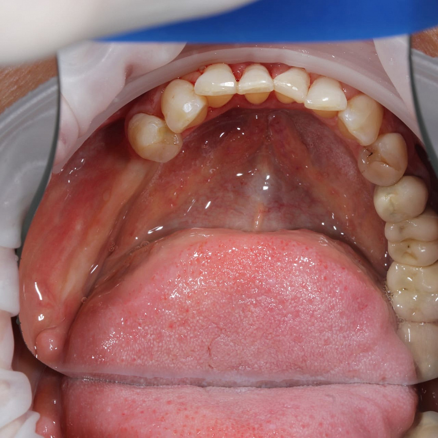
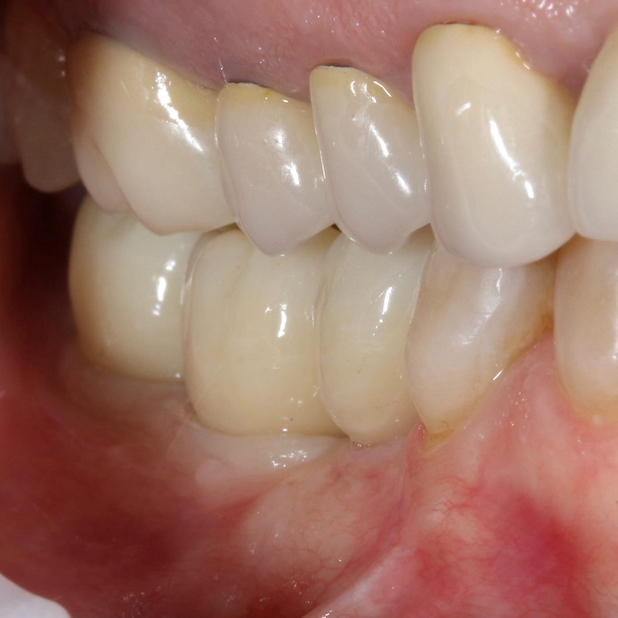
С какой проблемой обратился пациент
Пациент обратился с целью установки зубных имплантов и ортопедической реабилитации.
Этапы лечения
Проведена установка имплантатов, направленная костная регенерация, МКР, пластика мягких тканей, наращивание десны и установка коронок.
Результат лечения
Кто участвовал в лечении

Самсонов Андрей Романович
Специализация:
Врач стоматолог-хирург, имплантолог
Миссия в клинике:
Удаление зубов любой сложности, имплантация, имплантация в эстетически важной зоне, операции на мягких тканях полости рта, увеличение объема твёрдых и мягких тканей, комплексный подход к лечению заболеваний полости рта.




